Dr. Juan Carlos Iannicelli
banner
56455 visitas Publicada: 07/01/14

LABORATORIO (1): INTERPRETACIÓN DE LAS PRUEBAS DE LABORATORIO MAS USADAS.

HEMOGRAMA

INTRODUCCIÓN:

El hemograma y otras pruebas de laboratorio son determinaciones analíticas que se utilizan habitualmente en la atención pediátrica. A veces se realizan en niños que consultan por fiebre, decaimiento, hemorragias u otros síntomas, pero en otras ocasiones se realizan como parte del estudio preoperatorio o como screening de alguna patología concreta en población de riesgo.
Cuando detectamos alteraciones en estas pruebas debemos saber cómo interpretarlas: qué significado tienen (principalmente si las detectamos en niños en principio sanos), cuándo estará indicada la realización de estudios más complejos o cuándo será necesario derivar al paciente al hematólogo pediátrico con mayor o menor rapidez.  

HEMOGRAMA

El término de hemograma fue introducido en 1931 por V. Shilling como forma de expresar el estado global de la sangre a partir de un conjunto de criterios clínico-biológicos. En un principio su determinación era mediante técnicas manuales, muchas veces laboriosas, artesanales y con errores inherentes realmente importantes. El desarrollo de instrumentos o automatización para realizar los hemogramas comenzó en la década de los 50, cuando los hermanos Coulter, presentan su equipo basado en el método de la impedancia eléctrica, únicamente para contar eritrocitos y leucocitos.
Posteriormente, otros fabricantes introducen nuevos modelos y con el desarrollo de la tecnología se ha aportado una mayor automatización (contadores electrónicos tipo Coulter, contadores ópticos por citometría de flujo, otros más recientes por radiofrecuencia o luz polarizada, y los más modernos que combinan varias de estas tecnologías), logrando así determinar los principales parámetros hematológicos de sangre periférica con un elevado grado de fiabilidad y rapidez, con un menor costo económico.  

En la práctica médica en general, y en la Pediatría en particular, el hemograma es el estudio complementario más solicitado; ya que no sólo forma parte del estudio inicial de cualquier paciente, sino que muchas veces resulta del todo imprescindible para el diagnóstico de las hemopatías o el seguimiento evolutivo de otras enfermedades.

El hemograma consiste en el conteo del número de los diferentes tipos de células que se encuentran en sangre periférica (hematíes, leucocitos y plaquetas), la cuantificación de la hemoglobina (Hb), medición del hematocrito (Hto), y el cálculo de los índices eritrocitarios como el volumen corpuscular medio (VCM), Hb corpuscular media (HCM), y la concentración corpuscular media de la Hb (CHCM).
La lectura automatizada identifica los diferentes tipos de leucocitos y su expresión en valores porcentuales y números absolutos. Sin embargo, el ojo humano todavía sigue siendo insustituible para detectar una buena parte de las alteraciones morfológicas que aparecen en un frotis de sangre periférica.
El hemograma es utilizado como un procedimiento de cribado (screening), con el propósito de obtener una visión general del paciente: 

–  Refleja el funcionamiento de la médula ósea en el momento del estudio.

–  Ayuda para el diagnóstico de ciertas patologías, sobre todo hematológicas.

–  Refleja la capacidad del organismo para reaccionar frente a la enfermedad.

– Sirve de indicador de los progresos del paciente en algunos estados patológicos, como la Infección, la anemia…..

En la infancia tanto el número de leucocitos como su distribución porcentual varían con la edad. Las modificaciones del número y su distribución porcentual se producen frente a distintos cambios fisiológicos y a causas patológicas. La respuesta es poco específica y rápidamente cambiante por lo que hay que interpretarla en relación a la edad, y con el cuadro clínico del paciente.

Al interpretar las alteraciones en los resultados debemos de considerar distintos aspectos:

  1. Los valores de referencia son diferentes a los de los adultos, y distintos según la edad del paciente e incluyen el 95% de la “población normal” o la media +/- 2 DS.
  2. Hay que valorar los datos obtenidos a través de una buena anamnesis y de la exploración física minuciosa del paciente. Cuando no haya concordancia con la alteración detectada, debemos repetir el análisis antes de iniciar pruebas más complejas o  derivar al paciente al hematólogo. Debemos tener en cuenta la posibilidad de errores en el procesamiento de la muestra o en las técnicas de laboratorio. También hay que pensar en la posibilidad de variaciones secundarias a otros factores, como ritmo circadiano, ejercicio, dieta, grado de hidratación o ingesta concomitante de fármacos.

ALTERACIONES DE LOS LEUCOCITOS EN EL HEMOGRAMA

Los leucocitos son células presentes en la sangre cuya función es de defensa frente a agresiones del medio externo. Unos intervienen en los mecanismos de fagocitosis (neutrófilos y monocitos), y otros en la respuesta inmunológica (linfocitos).

Los valores normales de leucocitos y su recuento diferencial o porcentaje  también varian con la edad del paciente (Tabla). Su valor absoluto es el que tiene mayor importancia clínica, y aunque es un dato bastante inespecífico; hay que valorarlo siempre en el contexto clínico.

Los glóbulos blancos en la sangre periférica se clasifican como leucocitos polimorfonucleares o células mononucleares. Los leucocitos polimorfonucleares, también conocidos como granulocitos polimorfonucleares, polimorfos o granulocitos, se llaman así porque el núcleo es lobulado y en forma variable y el citoplasma contiene gránulos prominentes. Los gránulos citoplásmicos tienen diferentes características de tinción, subdividiendo los polimorfos en neutrófilos, eosinófilos y basófilos, de los cualesneutrófilos son los más abundantes.

La fracción mononuclear de leucocitos incluye linfocitos y monocitos.

alteraciones numéricas más frecuentes de los leucocitos, sus causas principales, y manejo en Atención Primaria, se desarrollan a continuación:

Se denomina leucopenia cuando se encuentran cifras inferiores a 4000/mm3 y leucocitosis a cifras superiores a 10.000 -12.000/mm3. La vida media de los leucocitos es de seis a siete horas; por tanto, una fórmula leucocitaria puede variar completamente en este período.
La leucopenia puede ser indicativa de leucosis o infecciones. Tanto virus como bacterias pueden asociarse a leucopenia, pero en el último caso es sugestivo de infección grave.
La leucocitosis puede ser fisiológica en el recién nacido y también se observa en: infecciones bacterianas, tos ferina, mononucleosis infecciosa, leucosis, tratamientos con corticoides o tras esplenectomía. 

Una reacción leucemoide es aquella en la que encontramos cifras de leucocitos mayores de 50.000/mm3 (Algunos autores consideran más de 30.000 mm3) como puede ser el caso de infecciones bacterianas, mononucleosis infecciosa, en la fase de recuperación de una agranulocitosis o, más recientemente, por tratamientos con factores estimulantes de colonias granulopoyéticas. 

LEUCOCITOSIS EXTREMA:

Leucocitosis extrema (LE), que se define como un recuento de glóbulos blancos en sangre periférica >= 25,000 / mm3, puede alarmar, demandado una evaluación extensa. Un recuento de glóbulos blancos  alto se ha asociado con una mayor probabilidad de infección en los estudios que se han centrado en los niños sanos - que aparecen en riesgo debacteriemia o bacteremia  oculta.
Sólo unos pocos de esos estudios abordan específicamente el riesgo de infecciones bacterianas asociadas con el recuento de leucocitos >= 25000 /mm3  .
Antes de la inmunización generalizada contra Haemophilus influenzae tipo b, 6 (19 %) de 32 niños de entre 3 y 36 meses de edad con LE  tenía bacteriemia. Dos estudios posteriores en la era post- vacuna H. influenzae b, encontró tasas de bacteriemia en niños con LE que van del 7 al 9 %. Estos estudios evaluaron la prevalencia de bacteriemia en niños sin una fuente focal de la infección.  

El significado clínico de LE, sin tener en cuenta los signos y síntomas no ha sido bien caracterizado.
Por ejemplo, en un lactante febril sin foco de 3 a 36 meses de edad con fiebre mayor de 39°C axilar, y  leucocitos  >15.000/mm3, y/o neutrófilos >10.000/ mm3; presenta una sensibilidad del 50-70%, especificidad del 70-75%, y un valor predictivo positivo del 16% (43% si > 30.000/mm3) de padecer una infección bacteriana potencialmente grave. 
La detección de infección bacteriana severa (IBS) es un objetivo importante en la evaluación de niños febriles pequeños. Los datos  indican que los niños con recuentos leucocitarios elevados tienen un alto riesgo de probada o probable IBS.

Sin embargo otros estudios demuestran que, las diferencias en las tasas de IBS entre los niños febriles con LE y leucocitosis modesta (LM)15,000–24,999/mm3,no fueron estadísticamente significativas.
En los niños febriles de edades comprendidas 3-36 meses, la presencia de leucocitosis extrema se asocia con un riesgo 39% de tener  IBS.
El mayor riesgo de IBS, se debe principalmente a un mayor riesgo de neumonía. En otras infecciones severas en niños febriles las leucocitosis moderadas y las leucocitosis extremas, se presentaron en forma similar.

Por otro lado, el recuento total de glóbulos blancos periféricos es considerado para algunos autores, Bonsu. 2003 - como un cribado inadecuado de bacteriemia en niños pequeños febriles; los valores de sensibilidad y especificidad fueron del 45% y 78%, respectivamente, con un punto de corte de 15.000 células/mm3, por lo tanto, las decisiones para obtener cultivos de sangre no deben  basarse en esta prueba.

Neutrofilos

El hemograma sólo refleja el número de neutrófilos circulantes; pero más del 50% de neutrófilos periféricos, se encuentran en el endotelio vascular y el resto en los tejidos y la médula ósea. Ante un gran número de estímulos o situaciones de estrés pueden liberarse y aumentar en sangre periférica. Los neutrófilos tienen una vida media corta y circulan en la sangre menos de un día (entre 6  y 10 horas). En respuesta a los estímulos inflamatorios o a la infección, ellos pueden permanecer en la circulación por pocas horas, y rápidamente migran a los sitios de infección o injuria tisular. 
Habitualmente, la neutrofilia reactiva se produce en respuesta a una infección o inflamación (quemaduras, cirugía, estrés, fase aguda de enfermedades autoinmunes, crisis asmática, hemorragia aguda, etc.) o fármacos como los corticoides.

Las citoquinas,  junto con componentes del complemento, liberan los granulocitos del pool de almacenamiento en médula ósea. Esto puede resultar en un aumento de dos a tres veces en el recuento de granulocitos en sangre, dentro de cuatro a cinco horas del comienzo de una infección. Más de la mitad de los granulocitos periféricos están unidos al endotelio vascular y en  determinada situación, estos neutrófilos “marginados” pueden ser liberados casi de inmediato en momentos de estrés.
El movimiento de neutrófilos desde el pool endotelial, a la circulación es de particular importancia en pediatría, ya que un aumento brusco en el recuento de leucocitos puede ser secundario a la liberación de adrenalina, que podría ocurrir cuando uno intenta extraer sangre en un niño asustado o ansioso.

En infecciones, el número de leucocitos/neutrófilos nos puede dar una idea de la gravedad de la misma. 

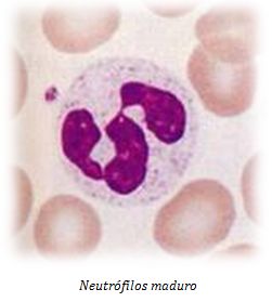
En el desarrollo del neutrófilo, el núcleo adopta una conformación en banda para luego convertirse en Neutrófilo maduro segmentado. El número de lóbulos en los neutrófilos normales varía de dos a cinco, con una mediana de tres.  

Un desplazamiento a la izquierda, indica la presencia en la sangre de neutrófilos menos maduros que los neutrófilos segmentados, por ejemplo, los neutrófilos en banda o cayados  y los que se encuentran en las etapas anteriores, como los metamielocitos.
En los neutrófilos inmaduros el núcleo se presenta sin segmentar, como una banda fuertemente teñida. Una célula se considera en banda, si existe una distinción visible entre la cromatina y paracromatina en el segmento más estrecho del núcleo. El recuento de bandas >20% se considera un conteo elevado.  La presencia de cambios morfológicos reactivos en neutrófilos, tales como gránulos tóxicos, cuerpos Dohle y vacuolas citoplasmáticas, es considerado como reacciones a las infecciones.  

 

 

Neutropenia

La neutropenia se define por un recuento absoluto de neutrófilos (RAN)1,500/mm3,
RAN es el porcentaje de neutrófilos en banda mas los neutrófilos maduros a veces el total del conteo de células blancas.
La neutropenia puede ser causada por: Disminución de la reserva de la médula ósea, disminución de la producción de médula ósea o de la liberación, un cambio de la circulación  marginando o acumulando en tejido, destrucción periférica de los neutrófilos, o una combinación de estas etiologías.  

Todd, ha sugerido que el recuento absoluto de neutrófilos o recuento de bandas es más preciso que el total del recuento absoluto de  leucocitos en la predicción de bacteriemia.

Estos resultados fueron apoyados por otros autores, que indica que un recuento de bandas elevado, era de un valor diagnóstico más alto en la detección de infección bacteriana aguda, que cualquier recuento total de leucocitos o neutrófilos.

El recuento absoluto de neutrófilos y las granulaciones tóxicas parecen ser más sensibles que los recuento de bandas en la predicción de infecciones bacterianas. Sin embargo, el recuento de banda tiene una mayor sensibilidad en los lactantes y los ancianos.

Si la granulación de los neutrófilos es prominente, se denomina granulación tóxica e indica igualmente infección. Granulaciones tóxicas, cuerpos de Dohle, y vacualización, pueden ser vistos comúnmente en los neutrófilos en presencia de infección.


Monocitos

En la sangre circulan normalmente entre 22 y 32 hrs. (vida media), pasando de acuerdo a las necesidades a los tejidos o serosas, donde se transforma en histiocito macrófago. Los macrófagos que se acumulan en los sitios de inflamación derivan del monocito circulante. Hay en este proceso una estrecha interrelación funcional con los linfocitos tanto B como T, que producen substancias llamadas linfoquinas que estimulan la producción y luego atraen al monocito al sitio inflamatorio, lo inmoviliza y activan  sus funciones fagociticas y bactericidas.

Los monocitos se detectan en el recién nacido—sangre del cordón—se encuentran entre 200 y 1.600 monocitos /mm3, cifra que sube en las primeras 12 hrs. a 400 - 3.100/ mm3 (promedio1.050), permaneciendo en valores altos (300-2.500 /mm3) durante las 3 semanas siguientes. En los primeros 2 años el promedio se mantiene entre 700 (1mes) y 500 (2años), con un rango que fluctúa entre 50 y 1.000 /mm3.  Recién a los 4 años se alcanzan los niveles del adulto, o sea menos de 500 monocitos /mm3.

Su aumento, se presentan generalmente en infecciones causadas por gérmenes intracelulares (Micobacterias, Leishmania, Toxoplasma, Listeria, etc.), o en la convalecencia de infecciones bacterianas, como por ejemplo la neumonía. Los pacientes afectos de colagenosis y diversas neoplasias hematológicas como la LMA, LMC o la leucemia mielomonocítica juvenil, y los afectos de neutropenia congénita grave, también pueden presentar esta alteración.

Toda monocitosis que no esté en relación con un cuadro infeccioso, debe ser enviada a consulta hematológica.

LINFOCITOS

Linfocitosis: existe una linfocitosis fisiológica desde los 4 meses a los 4 años de vida. Las linfocitosis absolutas se asocian a infecciones víricas como la Mononucleosis infecciosa, infección por CMV y la denominada  linfocitosis aguda infecciosa por virus Coxackie. También se puede ver una linfocitosis en toxoplasmosis y la tos ferina. Linfocitosis moderada se puede observar, en otras infecciones agudas como paperas, varicela, y otras muchas virosis, o infecciones bacterianas subagudas/crónicas como tuberculosis, brucelosis, y fiebre tifoidea y paratifoidea. Otra causa no infecciosa es la tirotoxicosis.

Ante toda linfocitosis que no coincida con el diagnostico o edad el hematólogo revisa la morfología para descartar patología tumoral: Leucemia Linfoblástica Aguda, Linfomas no Hodgkin.
Si existen más series afectadas remitir urgente a la consulta de hematología.
Linfopenia: se define como el contaje de linfocitos por debajo de lo normal para la edad del paciente (< 1000-2000 /mm3). Pueden ser congénitas (inmunodeficiencia congénita), que son raras, o adquiridas por infecciones virales o SIDA. Ante el descubrimiento de una linfopenia aislada se puede repetir el hemograma a las 2-4 semanas, y si persiste, debe enviarse al especialista para descartar una inmunodeficiencia; así como si están asociadas a otros datos de riesgo como agammaglobulinemia o infecciones de repetición.  

EOSINOFILIA

ASPECTOS CLÍNICOS DE EOSINOFILIA

Cualquier perturbación que resulta en eosinofilia, se define como una acumulación anormal de eosinófilos en la sangre o tejido, puede tener profundos efectos clínicos. La eosinofilia puede ser dañina, debido a los efectos proinflamatorios de los eosinófilos, o puede ser de utilidad, debido a los efectos antiparasitarios de estas células.
La eosinofilia se produce en una variedad de trastornos y se clasifica arbitrariamente como leves (351 a 1500 células por milímetro cúbico), moderada (> 1.500 a 5.000 células por milímetro cúbico), o grave (> 5000 células por milímetro cúbico).
Los eosinófilos normalmente representan sólo del 1 al 3 % de los leucocitos de sangre periférica, y el límite superior del rango normal es de 350 células por milímetro cúbico de sangre.
La causa más común de la eosinofilia en todo el mundo son las infecciones helmínticas, y la causa más común en los países industrializados es la enfermedad atópica.  

Los estudios de diagnóstico que se deben realizar en los pacientes con eosinofilia moderada a grave y se deben considerar en los pacientes con eosinofilia leve persistente, incluyen el examen morfológico de un frotis de sangre, análisis de orina y exámenes de seriado de heces buscando huevos y parásitos.

Las infecciones parasitarias que causan eosinofilia se limitan generalmente a parásitos helmintos, con la excepción de dos protozoos entéricos, infección por  Isospora belli y  Dientamoeba fragilis. Strongyloides stercoralis es importante para diagnosticar, ya que puede causar enfermedad mortal diseminada en pacientes inmunosuprimidos; su detección suele requerir pruebas serológicas.

PLAQUETAS

El recuento plaquetario en niños es igual que en adultos: 150-450.000 /mm3, y las alteraciones en su número son frecuentes en pediatría.

Trombocitosis: Es el aumento en el número de plaquetas circulantes. En general se considera > 450.000 /mm3  aunque algunos autores no la consideren hasta  > 1.000.000 /mm3.
Cuando son > 600.000/mm3 de forma mantenida, se debe iniciar un estudio diagnóstico.
Las causas más frecuentes son:
El aumento de la cifra de plaquetas en pediatría en la mayoría de las ocasiones es secundario. En pediatría casi siempre secundarias: 

Trombopenia: Cuando las plaquetas son < 20.000 /mm3 pueden presentar hemorragias espontáneas, pero si las plaquetas son >50-60.000/mm3, suelen ser asintomáticas y hacerse solo evidentes en traumatismos o intervenciones quirúrgicas.

Las causas de trombocitopenia en niños son múltiples. Las infecciones virales son una de las causas más frecuentes de trombocitopenia leve-moderada transitoria. Suelen tener una recuperación espontánea y rápida. Algunos fármacos se han relacionado también con trombocitopenia principalmente heparina, quinidina, y la mayoría de anticonvulsivantes.

UTILIDAD DEL RECUENTO  DE  G. BLANCOS EN PREDECIR INFECCIÓN BACTERIANA 

Las enfermedades febriles son comunes en niños pequeños y representan el 20% y el 30% de todas las visitas a servicios de urgencias pediátricas. Aunque la mayoría de los episodios febriles son las infecciones virales autolimitadas, una proporción significativa (del 7% al 27% dependiendo del escenario) se debe a infecciones bacterianas graves, en los que un retraso en el diagnóstico puede conducir a la prolongación de enfermedad, complicaciones o muerte.

En un reciente estudio; De S. - 2014, se evaluaron niños menores de 5 años, que concurrieron a sala de emergencia con una enfermedad febril.

De los 3893 episodios febriles, 36% fueron niños < 1año, y  27% tenían entre 1-2 años de edad. Una infección bacteriana severa se presento en 18.3%.

En este amplio estudio prospectivo de cohorte, el recuento total de glóbulos blancos y recuento absoluto neutrófilos, fallaron en detectar las tres infecciones bacterianas graves más comunes en niños pequeños febriles,  en un amplio rango de edades. Neumonía fue diagnosticada en 328, e Infección urinaria en 345, de los 3893 episodios.

La baja sensibilidad y especificidad, para el umbral convencional de 15.000 GB/mm3 para el recuento total de glóbulos blancos, es un hallazgo importante para la política y  las guías de prácticas;  ya que muchos  utilizan y recomiendan estos valores para la toma  de decisiones en la evaluación de los bebés y los niños con fiebre para medir la probabilidad de infección bacteriana grave.

Concluye diciendo:

Los glóbulos blancos y el recuento absoluto de neutrófilos son marcadores inexactos de infección bacteriana grave en niños menores de 5 años de edad que presentan fiebre.

Un umbral de recuento de glóbulos blancos de 15 × 109 / L, se pierde la mitad de todas las infecciones bacterianas graves, mientras que clasifica erróneamente  una cuarta parte de las enfermedades autolimitadas
Las recomendaciones relativas a las pruebas de recuento de glóbulos blancos para los niños febriles, necesitan una cuidadosa reevaluación.
En este estudio, un recuento de GB >15.000/mm3, mostró una sensibilidad de 47% y una especificidad del 76%.
Los médicos que confían en estas pruebas se arriesgan a más investigaciones y sobre-tratamiento de niños con enfermedades auto-limitadas benignas, así como pierden una parte importante de los niños con infecciones bacterianas graves.